
トミヒサクロスデンタルクリニック新宿御苑では、患者様と真摯に向き合い、心から安心できる歯科治療を提供いたします。
矯正治療
無料矯正日のお知らせ
毎月第3日曜日午前中は無料矯正相談を行っております。
矯正治療
矯正歯科治療は、「力を加えると、加えた方向に移動する」という歯の性質を利用し、歯に矯正装置を装着し歯並びや、噛み合わせを改善していく治療方法です。
トミヒサクロスデンタルクリニック新宿御苑では矯正治療の専門医が治療を行います。矯正により歯並びが良くなることで身体には様々なメリットがあります。
見た目が良くなることはもちろん、歯磨きなどのケアがしやすくなりますので、結果的に歯の寿命を延ばすことにつながります。
また、肩こりや頭痛、消化不良や口臭が解消される場合もあります。
歯並びが気になる方は、トミヒサクロスデンタルクリニック新宿御苑に気軽にご相談下さい。
矯正治療とは
歯には、力を加えられるとその方向に移動する性質があります。
その性質を利用して歯に矯正装置を装着し、歯に一定の力を持続的にかけて少しずつ動かし、悪い歯並びや噛み合わせ、いわゆる不正咬合を治すのが歯列矯正です。
不正咬合の種類
不正咬合には、上顎前突(じょうがくぜんとつ)、下顎前突(かがくぜんとつ)、開咬(かいこう)、叢生(そうせい)、上下顎前突(じょうげがくぜんとつ)、過蓋咬合(かがいこうごう)、交叉咬合(こうさこうごう)、正中離開(せいちゅうりかい)、切端咬合(せったんこうごう)などがあります。
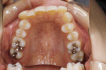
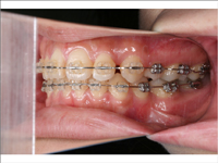
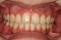
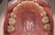
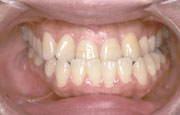
矯正の症例
| 【Before】 | 【After】 | |
![]() |
![]() |
![]() |
![]() |
![]() |
![]() |
![]() |
||
![]() |
![]() |
![]() |
![]() |
![]() |
||
![]() |
![]() |
![]() |
![]() |
![]() |
||
![]() |
![]() |
![]() |
![]() |
![]() ![]() |
![]() |
![]() ![]() |
![]() ![]() |
![]() |
![]() ![]() |
![]() |
![]() |
![]() |
![]() |
![]() |
![]() |
矯正治療の流れ
| ①矯正初診 | 1.現在の状況 2.今後の予測 3.矯正治療の一般的説明 4.料金の説明 5.検査の予約 |
| ▼ | |
| ②検査 | 1.顔面写真・口腔内写真 2.歯の型取り、噛合せの確認 3.問診・口腔内検査 4.レントゲン撮影 5.側頭部セファロレントゲンの紹介状 (大学病院) |
| ▼ | |
| ③コンサルテーション | 1.使用装置 2.治療期間、固定期間 3.抜歯の有無 4.矯正治療の諸注意 5.治療料金 6.契約書の作成 |
| ▼ | |
| ④矯正治療 |
1.口腔内管理:ブラッシング指導 2.診療スケジュール :成人・永久歯の矯正は毎月1回 |
| ▼ | |
| ⑤矯正治療終了日 | 1.装置除去 2.スケーリング・クリーニング 3.型取り 4.顔面写真・口腔内写真 |
| ▼ | |
| ⑥経過観察 (固定装置の使用期間) |
1.1ヶ月検診 2.3ヶ月検診→6ヵ月検診→6ヵ月検診 |
医院案内
トミヒサクロスデンタルクリニック新宿御苑
〒162-0067 東京都新宿区富久町17-2
03-5379-6480
ご予約・お問合わせフォーム
※完全予約制ですので事前にご予約ください。
診療時間: 9:30~13:30 14:30~19:30
(最終受付19:00)
土・日・祝も診療しております。
※研修、勉強会などで不定期に休診日を設ける場合がございます。
アクセス:
東京メトロ丸ノ内線 『新宿御苑前駅』 徒歩5分
東京メトロ副都心線 『新宿三丁目駅』 徒歩8分
都営新宿線 『曙橋駅』 徒歩9分
JR山手線 『新宿駅』 徒歩16分

































